Esophageal Duplication Cyst Presenting as Severe Abdominal Pain.

Esophageal Duplication Cyst Presenting as Severe Abdominal Pain.

Manjakkollai P. Veerabagu, MD1*, Leila Kutob, MD2, Adam Beall, MD3, and Paul Frassinelli, MD4

 

1. AnMed, Anderson, South Carolina, Affiliate Associate Professor of Medical University of South Carolina, Division of Gastroenterology, Charleston, SC.

2. AnMed, Anderson, South Carolina, Department of Pathology.

3. Department of Surgery, AnMed, Anderson, South Carolina.

4. AnMed, Anderson, SC Assistant Professor of Medical University of South Carolina, Department of Surgery, Charleston, SC


*Correspondence to: Manjakkollai P. Veerabagu, AnMed, Anderson, South Carolina, Affiliate Associate Professor of Medical University of South Carolina, Division of Gastroenterology, Charleston, SC.


Copyright

© 2025 Manjakkollai P. Veerabagu, This is an open access article distributed under the Creative Commons Attribution License, which permits unrestricted use, distribution, and reproduction in any medium, provided the original work is properly cited.

Received: 30 Sep 2025

Published: 08 Oct 2025

DOI: https://doi.org/10.5281/zenodo.17337629


Esophageal Duplication Cyst Presenting as Severe Abdominal Pain.

Introduction

Esophageal duplication cysts are rare congenital malformations involving the foregut during early weeks of embryonic development. Most of the duplication cysts are asymptomatic. Occasionally they present with symptoms later in life. Dysphagia, food impaction, cough and chest pain are some of the clinical presentations. We present a rare case of esophageal duplication cyst presenting with severe abdominal pain.

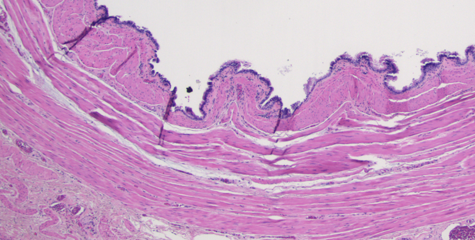
A 28-year-old healthy gentleman with no prior medical history presented to the emergency room with sudden onset of severe right upper quadrant and epigastric abdominal pain associated with nausea and vomiting. Liver enzymes and lipase were normal. CBC showed mild leukocytosis (12.24 K/microL).  Cross-sectional imaging revealed a well-circumscribed soft density lesion adjacent to the gastroesophageal junction (Fig. 1). Ultrasound evaluation did not show any cholecystitis or gall stones. Esophagogastrostomy did not show significant changes in the esophagus or in the gastroesophageal junction or in the stomach. Endoscopic ultrasound evaluation showed a well encapsulated lesion measuring 3 cm not arising from the muscularis propria of the esophagus but close to the GE junction with both liquid and solid contents (Fig. 2). Needle aspiration showed mucinous material suggesting possible esophageal duplication cyst.  Laparoscopy was performed ,revealing a pedunculated  cystic lesion at the gastroesophageal junction (Fig. 3). It was stapled at its origin, with a bougie in the esophagus to minimize the risk of narrowing the esophageal lumen (Fig. 3). Histopathological examination confirmed it was indeed an esophageal duplication cyst (Fig. 4,5 &6). The inner lining of the cyst was ciliated columnar epithelium (Fig. 4). Interestingly double layer of smooth muscle was noted (Fig. 6). Following surgical removal, the pain completely resolved and on follow up the patient was feeling completely normal.

 

Figure 1. CT scan showing the lesion adjacent to the GE junction

Figure 2. Endoscopic Ultrasound evaluation showing solid cystic lesion near GE junction

Figure 3. Laparoscopic removal of the esophageal duplication cyst

Figure 4. High power view (40 x) of an H&E stained section of the cyst lining demonstrating the ciliated columnar epithelium

Fig. 5. Low Power view (4x) of an H&E stained section of showing cystic structure with a well-developed smooth muscle layer forming the wall and lined by ciliated columnar epithelium. No cartilage identified.

Fig. 6. Another low power view (4x) of an H&E stained section of the esophageal duplication cyst demonstrating well-developed double smooth muscle layer.

 

Esophageal duplication cysts are typically asymptomatic,  but they can cause symptoms later in life, despite being congenital abnormalities. The incidence of esophageal duplication is 1 in 8200 (1). They are thought to form between 4th and 8th week of development as a result of failure of intrauterine vacuolization of the esophagus (2).  They constitute 0.5% to 2.5% of all esophageal masses (2,3). They are more common in males, with a male to female ratio of  2:1. They are often discovered incidentally on upper endoscopy evaluation seen as a submucosal bulge.  Duplication cyst should be distinguished from leiomyoma, lipoma and gastrointestinal stromal tumors (4).  If they are symptomatic, the usual symptoms are dysphagia, chest pain and cough. Our patient presented with severe upper abdominal pain. The lesion was pedunculated and we postulated that torsion or bleeding could have caused the patient’s symptoms. Symptomatic esophageal duplication cysts are removed mostly by surgery.  Some esophageal duplication cysts could be treated by endoscopic fenestration using endoscopic ultrasound but in our patient that was not possible due to its peduncular morphology and location near the GE junction (5).

 

References

1. Anderson MC, Silverman WW, Shields TW. Duplications of the alimentary tract in the adult Arch Surg 1962;85: 94-108.

2. Arbona JL, Fazzi JG, Mayoral J. Congenital esophageal cysts. Case report and review of literature. Am J Gastroenterol 1984;79: 177-82.

3. Whitakeer JA, Deffenbaugh LD, Cooke AR. Esophageal duplication cyst. Case report. Am J Gastroenterol 1980;73: 329-32

4. Bhatia V, Tajka M, Rastogi A. Upper gastrointestinal submucosal lesions-clinical and endosonographic evaluation and management. Trop Gastroenterol 2010;31: 5-29.

5. Radhika Chavan, Zaheer Nabi, Sukrit Sud et al. Advanced endoscopic techniques for esophageal duplication cyst treatment: beyond surgery. GIE 10;6:326-332.

Figure 1

Figure 2

Figure 3

Figure 4

Figure 5

Figure 6

eklsplorasi data dinamis model dunia gameintegrasi model analisis data dalam digitalkerangka analitik dinamika data platformoptimalisasi sistem analisis data teoristudi dinamika data simulasi dalam digitalbermain mahjong ways santai strategicara aman santai mahjong ways tinggigaya santai bermain mahjong ways stabilrahasia main mahjong ways tanpa khawatirtips main mahjong tanpa tekanan minime5 dibalik layar bagaimana rtp harian mengendalikan arah permainane5 era baru bonus dengan kinerja maksimal di mahjong wins 3e5 evolusi rtp harian dan seni mengendalikan strategi moderne5 evolusi rtp live dengan dukungan artificial intelligence canggihe5 fakta di balik scatter dan wild mulai terkuak dari pola algoritmae5 fakta keras tanpa analisis rtp harian strategi anda sudah usange5 framework strategi modern berbasis analisis rtp harian mendalame5 hadirkan bonus inovatif dengan kinerja optimal di mahjong wins 3e5 hanya sedikit yang paham evolusi rtp hariane5 indikasi pola scatter dan wild terlihat dari analisis sisteme5 inovasi bonus terbaru dengan performa unggul di mahjong wins 3e5 inovasi rtp live berbasis artificial intelligence generasi terbarue5 insight baru scatter dan wild dijelaskan lewat studi algoritmae5 integrasi artificial intelligence dalam sistem rtp live moderne5 jangan abaikan rtp harian ini disebut jadi penentu permainan masa kinie5 jangan ketinggalan evolusi rtp harian ini mengubah standar permainane5 jejak pola scatter dan wild terlihat dari perhitungan algoritmae5 memperkenalkan bonus terbaru dengan performa maksimal di mahjong wins 3e5 mengenal bonus inovatif dengan efisiensi tinggi di mahjong wins 3e5 menguasai permainan modern lewat evolusi cerdas rtp harianawalnya terlihat picu mahjong wins viraldari hal kecil besar mahjong beranda digitaldinamika baru digital evolusi pgsoft livehal kecil justru mahjong wins trendinginovasi pgsoft peran rtp live dinamika gamekebangkitan mahjong wins pola invoatifkejadian sepele bikin mahjong wins ramaikonsistensi dalam mahjong ways kuncimahjong wins kembali mencuat pola fokusmahjong wins kembali trending pola bermainmahjong wins naik daun pola strategimengapa strategi lambat mahjong waysmengungkap slow play mahjong hasilmomen ringan alasan mahjong wins munculoptimalisasi sistem pgsfot rtp live pemainpola baru mahjong wins heboh pemainrevolusi sistem pgsoft ai rtp live gamestrategi bermain santai mahjong waysstrategi inovatif pgsoft rtp dunia gameteknik bermain tenang mahjong waysdari sunyi ke ramai pola mahjong winsdinamika spin mahjong scatter wildjangan anggap remeh scatter hitamjejak kombinasi mahjong wins scatterketika scatter kombinasi mahjong wayskunci ritme mahjong scatter putaranmembaca frekuensi mahjong wins scattermenguak susunan simbol mahjong kejutanmenguak susunan simbol scatter wildmomen spesial mahjong scatter wildrahasia pola scatter hitam munculsensasi baru setiap putaran mahjongsetiap spin mahjong terasa scatter wildsusunan simbol sering berujung scattervariasi permainan mahjong ways scattera5 ayambesara5 ayamkecila5 babibesara5 babikecila5 babisuperaws adaptasi strategi mahjong ritme evaluasiaws evolusi visual pgsoft mahjong modernaws kombinasi simbol mahjong keputusan konsistenaws manajemen modal mahjong terkontrolaws mekanisme internal mahjong transisi stabilaws observasi sabar mahjong keputusan terstrukturaws pemilahan risiko mahjong fase stabilaws risiko mahjong disiplin evaluasi harianaws scatter hitam mahjong pola proaws simbol spesial mahjong peluang optimaloke76cincinbetaqua365slot gacorstc76samurai76TOBA1131samurai76 login